Efter at have set MR scanningsbilleder kan jeg nu ser tydelig hvorfor jeg er Multiple Sclerose pensionist
Som tidligere skrevet har jeg fået foretaget en MR scanning af min hjerne som procedurerne foreskriver ved sclerose og forleden fik jeg billederne på en CD.
Ved en opfølgende samtale på Roskilde Sygehus så jeg scannings billeder af min hjerne for første gang. Jeg har nok set dem før på Rigshospitalet men kan ikke huske det og derfor er det første gang for mig.
Det var både sjovt og ikke sjovt at se MR scanningsbillederne. Billedet i toppen, som viser min hjerne set fra isse med meget udstående øjne er sjovt.
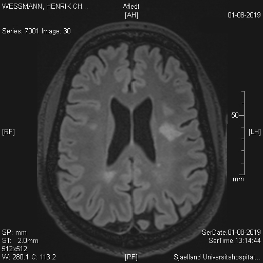
Mindre sjovt er disse billede:


Det viser nogle store hvide pletter i hjernen. Det er plaque fra MS attakker og grunden til at jeg idag er invalidepensionist.
Jeg fik den store tur så de har også taget billeder af min rygmarv:

Jeg fik at vide at rygmarven skal være hvid…min har en lang sort stribe.
Hvis man ved mere om hjernen og centralnervesystemet end jeg gør kan man sikkert sige hvilke plaques, der giver mig de forskellige symptomer. Men jeg forestiller mig at den sorte stribe i rygmarven er det, som giver mig problemer specielt i mit venstre ben.
Den store plaque i hjernen er, forestiller jeg mig, den som giver mig kognitive vanskeligheder.
Men jeg ved det ikke og det er heller ikke vigtig. Det er sådan det er.