min sclerose er her stadig
Jeg har ingen problemer med at tale om min sclerose eller svare når nogle spørger. Men jeg viser og taler ikke om det meget.
skriblerier, rablerier, tirader ?
Jeg har ingen problemer med at tale om min sclerose eller svare når nogle spørger. Men jeg viser og taler ikke om det meget.
Fælles var at du kom til at tale med en sygeplejerske og de andre patienter i infusionsrummet. Der blev spurgt til hvordan man havde det og man kunne tale lidt om de bekymringer man jeg havde. Og jeg havde og har da bekymringer. Så var det rart at tale med en fagperson så der kunne tage aktion eller man kunne beroliges for oftets var det helt almindelige ting, som ikke krævede yderligere.
Det har taget mig nogle ord at få “oversat” eller udtryk alle min tre leveregler til dansk.
Erkendt at det var lidt dovenskab, at jeg ikke fik udtryk det på dansk til at starte med… mea culpa,
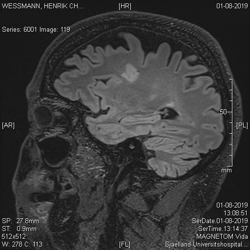
Med en MS diagnose har heg også tydelige kognitive tab og nu fik jeg det sort på hvidt.
Efter mere ned 10 åer med Tysabri er jeg nu på Keismpta for min MS og har gjort mig erfaringer.
Jeg hader udtrykket at “slå tiden ihjel”.
Dertil er tiden for kostbar og jeg kan ikke købe 1 kg tid i det nærmest supermarked.
Jeg er allerede ved at orienterer mig i Brønshøj lokalområde for det lokale ligger mig på sinde.
Jeg har fået to fysiske bogudgivelser og lavet et par mindre onlineudgivelser. AUGUST, ELMER og VILMA Jeg har gennem et par år fået lavet en del billeder af August Holmgreen, Elmer Møller og Vilma Krebs Hyllested KFUM 2024 Jeg har besøgt KFUM et par gange og overværet et par holdkampe og det er der … Læs mere
Det gjorde mig ked af sådan at blive konfronteret med nogle effekter af 14 år med sclerose
Det værste at jeg ved hvem og hvad som udløste det sclerose attak og jeg er SÅ indebrændt !